¿Quieres recibir notificaciones de alertas?

PUBLICIDAD

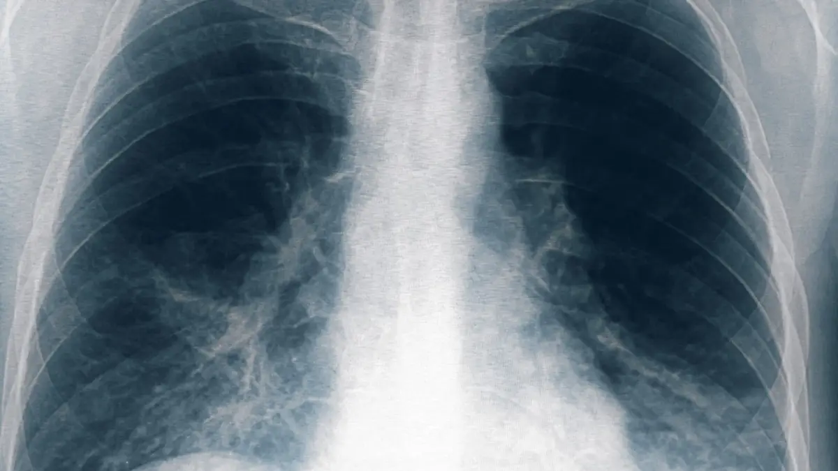
Neumonía bilateral: nueva muerte en Tucumán y ya suman 5

Se trata de una persona de 64 años con comorbilidades.
 

Por El Litoral

Lunes, 05 de septiembre de 2022 a las 01:00

Un paciente vinculado al conglomerado de casos de neumonía bilateral registrados en Tucumán murió ayer, por lo que suman cinco las víctimas fatales por esta causa, informó el Ministerio de Salud Pública provincial.
El parte agregó que "se trata de un paciente del sexo masculino de 64 años de edad, con comorbilidades, que se encontraba internado en grave estado, en el sector público" por esa enfermedad vinculada a la bacteria legionella, de acuerdo con la confirmación en los laboratorios de la Administración Nacional de Laboratorios e Institutos de Salud "Dr. Carlos Malbrán".
El domingo la ministra de Salud de la Nación, Carla Vizzotti, confirmó que el brote de neumonía bilateral fue causado por una bacteria llamada Legionella, en base a los resultados de los estudios realizados a las muestras enviadas desde Tucumán a la Administración Nacional de Laboratorios e Institutos de Salud "Dr. Carlos Malbrán".
"En cuatro muestras, tres respiratorias y una punción biopsia de uno de los fallecidos, se está aislando en la PCR una bacteria que se llama legionella y se está tipificando su apellido", dijo Vizzotti.
"La sospecha es que sea un brote de Legionella Pneumophila", indicó, y aclaró que "resta avanzar en lo que sería el diagnóstico final", amplió Vizzotti en una conferencia de prensa en el Ministerio de Salud de Tucumán, donde estuvo acompañada por su par provincial, doctor Luis Medina Ruiz, y por la representante en Argentina de la Organización Panamericana de la Salud (OPS), Eva Jané Llopis.
La funcionaria nacional dijo que "es una bacteria que se transmite por vía inhalatoria a través del agua o aire acondicionado" y agregó que "tiene un tratamiento antibiótico y una resistencia importante en personas de riesgo, mayores de 50 años, tabaquistas, diabéticos y personas con inmunocompromiso o enfermedades respiratorias". 
Hasta el momento se identificaron once personas afectadas por neumonía bilateral causada por Legionella, en la clínica privada Luz Médica, de las cuales cinco fallecieron.
El domingo las autoridades locales habían informado del cuarto caso fatal, un hombre de 48 años afectado por la misma causa. Se trataba de "un paciente del sexo masculino de 48 años de edad, con comorbilidades, que se encontraba internado en grave estado en el sector público", se informó en un comunicado oficial.
La cartera sanitaria tucumana informó el sábado la aparición del caso número 11 y dijo que "se trata de un paciente del sexo masculino de 64 años de edad, con comorbilidades, internado en grave estado con asistencia respiratoria mecánica, en el sector privado".
El viernes, el gobierno tucumano había informado que un hombre de 81 años, con comorbilidades, fue internado en grave estado en un establecimiento sanitario del sector público con síntomas de neumonía bilateral. 
(EN)

Últimas noticias

PUBLICIDAD